Moje przypadki

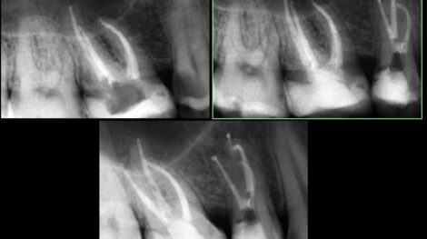
Leczenie zęba z dużą krzywizną korzenia
Usunięcie 5 złamanych narzędzi z jednego zęba
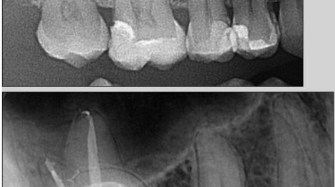
Leczenie kanałowe pierwszego przedtrzonowca z 3 kanałami

Glivdental Gliwice

wtorek 9-17

środa 10-18

 

Kontakt

Arboczius Paweł

Email: arboczius@gmail.com

 

Arboczius Paweł 2023 Wszelkie prawa zastrzeżone Projekt & wykonanie

Strony www Jaworzno