
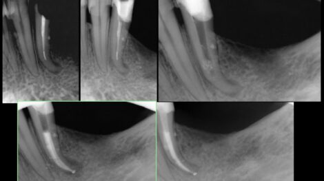
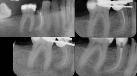
Dyscyplina stomatologii, którą uprawiam, jest całkowicie zgodna z moim charakterem. Precyzyjne leczenie kanałowe oraz mikrochirurgczne resekcje korzeni zębów wymagają skupienia, dokładności, konsekwencji i ciekawości odkrywcy.
Leczeniem kanałowym zajmuję się od 14 lat i od samego początku była to dziedzina stomatologii paradoksalnie dla mnie najciekawsza. Po roku od ukończeniu studiów, aż do dnia dzisiejszego leczenie kanałowe stanowi 90% mojego czasu pracy.
Tak duża ilość przypadków od najprostszych do ekstremalnie skomplikowanych pozwoliła mi przeprowadzać zabiegi w sposób przewidywalny, sprawny i z minimalnym ryzykiem powikłań.
Ponieważ specjalizuję się w dość wąskiej dziedzinie stomatologii, łatwo mi cały czas aktualizować swoją wiedzę i “nowinki” w tym zakresie mojej pracy.
Na co dzień mieszkam w Sosnowcu, interesuję się szeroko pojętym uprawianiem aktywności fizycznej (gram w amatorskiej lidze koszykówki), finansami oraz uprawianiem ogrodu.
Jestem członkiem stowarzyszeń PTE (Polskie Towarzystwo Endodontyczne), ESE (European Society of Endodontology) oraz Mensa Polska.
![]()
Bezbolesne leczenie
![]()
Terminowość wykonania zabiegów
![]()
Podejmuję się trudnych przypadków
![]()
Przedstawiam plan i koszty leczenia
![]()
Pracuję wyłącznie w mikroskopie zabiegowym
![]()
Leczenie w większości przypadków jednowizytowe
![]()
Stawiam na ciągły rozwój i szkolenia
![]()
Obsługuję pacjentów anglojęzycznych